患者男,48岁,主诉外伤致右腕部疼痛,活动受限7天。于南阳市骨科医院行手法整复后患者对治疗效果不满意,遂手术治疗。
1.初步手法复位
2.安装外固定架,调节螺母纵向牵拉,初步恢复桡骨高度
3.背侧穿针撬拨,继续恢复桡骨高度
4.安装六轴机器人导向器并包裹无菌巾,摆放合适体位。
5.使用执行器夹持克氏针,于掌侧穿针,撬拨骨块并使用六轴机器人固定针末端以维持撬拨位置。
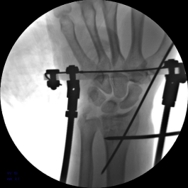
6.六轴机器人撬拨骨块过程
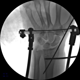
7.手术完毕,复位满意
本文转载自好大夫平台https://station.haodf.com/health/article?healthId=8618455769&articleId=9394091055
中文
英文






















